-
3MPa級小型水圧実験システムの製作
https://www.mwj.co.jp/product_service/3609/
これまで、たびたびご要望をいただいておりました、3MPa相当に加圧可能な水圧実験システムについて、製作販売を開始いたしましたのでご紹介します。 お客様より研究用サンプルを加圧する装… -
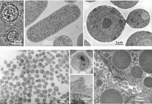
サンドイッチ凍結法講習会
https://www.mwj.co.jp/product_service/1747/
当社では千葉大学・真菌医学研究センターの山口正視先生が開発されたサンドイッチ凍結装置の製造・販売をしています。本装置は、生物試料の電子顕微鏡観察をするにあたって、試料を急速凍結…
サービス・製品TOP
海象モニタリング
環境モニタリング
海底地形・構造物調査
環境影響調査
観測ブイ設計・製作
海洋調査・観測
試料分析
キュレーション
ものづくり
ソリューションTOP
洋上風力発電
海底鉱物資源
海洋調査・試料分析
水産資源・ブルーカーボン
会社案内TOP
ご挨拶
理念体系
会社概要
沿革